Хронический пародонтит

Хронический пародонтит – это длительно текущий, инфекционно-индуцированный патологический процесс, затрагивающий все структуры пародонта и приводящий к деструкции его тканей и резорбции альвеолы. Хронический пародонтит сопровождается зудом и кровоточивостью десен, наличием над- и поддесневых зубных отложений и пародонтальных карманов, галитозом, подвижностью и смещением зубов, эндогенной интоксикацией. Диагностические мероприятия при хроническом пародонтите включают анализ данных пародонтограммы, ортопантомограммы, биопсии тканей десны. Лечение хронического пародонтита зависит от степени выраженности и включает снятие зубных отложений, местную противовоспалительную терапию, физиотерапию, шинирование зубов; при необходимости – удаление подвижных зубов, лоскутные операции.
МКБ-10
K05.3 Хронический пародонтит

- Причины
- Местные факторы
- Общие факторы
- Легкая степень
- Средняя степень
- Тяжелая степень
Общие сведения
Хронический пародонтит – воспалительное заболевание пародонтального комплекса, имеющее циклическое, неуклонно прогрессирующее течение. Согласно статистике, та или иная форма пародонтита выявляется у 90-95% населения. В зоне риска развития хронического пародонтита находятся преимущественно лица старше 30-40 лет. По данным ВОЗ, потеря зубов вследствие хронического пародонтита наблюдается в 5 раз чаще, чем по причине кариеса. Клиническая значимость хронического пародонтита не ограничивается рамками стоматологии, поскольку состояние пародонта тесно связано с эндокринными, сердечно-сосудистыми заболеваниями, болезнями крови.

Хронический пародонтит
Причины
Местные факторы
Хронический пародонтит обусловлен целым рядом местных и общих предпосылок. Главным местным этиологическим фактором выступает пародонтопатогенная микрофлора (превотеллы, актиномицеты, порфиромонады, бактероиды, пептострептококки и др.), в большом количестве присутствующая в зубном налете. Микроорганизмы и их токсины повреждают эпителий десны, вызывая его воспалительную реакцию в форме хронического катарального или гипертрофического гингивита.
В дальнейшем, проникая в зубодесневую бороздку, патогены способствуют ее углублению и образованию зубодесневых карманов. Агрессивное действие над- и поддесневого налета, содержащего колонии бактерий, заключается в постепенном разрушении подлежащей соединительной ткани, включая периодонтальную связку, образующую зубодесневое соединение. Кроме микробного фактора, в развитии хронического пародонтита большую роль играют стоматологические заболевания:
- кариес;
- зубной камень;
- травмы зуба;
- неправильный прикус;
- бруксизм;
- тяжи слизистой оболочки и пр.
Пусковым моментом может выступать хроническая травматизация тканей пародонта неправильно поставленными пломбами или плохо подогнанными зубными протезами.
Общие факторы
Среди общих факторов, способствующих развитию хронического пародонтита, велика роль эндокринопатий (сахарного диабета, остеопороза, ожирения), патологии ЖКТ (гастрита, холецистита, энтероколита, гепатита), аллергических и аутоиммунных заболеваний, болезней системы крови, гиповитаминозов, лучевых поражений и пр.
Классификация
Учитывая распространенность воспалительно-дистрофического процесса, в пародонтологии выделяют локализованный (очаговый) и генерализованный (диффузный) хронический пародонтит. В клиническом течении хронического пародонтита чередуются фазы обострения и ремиссии. В зависимости от выраженности патологических изменений в пародонте выделяют начальную стадию и стадию развившихся нарушений, которая включает 3 степени тяжести хронического пародонтита.
- Начальная стадия хронического пародонтита характеризуется разволокнением компактной пластинки, наличием признаков остеопороза, снижением высоты межзубных перегородок не более чем на 1/4 длины корня зуба. Пародонтальные карманы имеют глубину не более 2,5 мм.
- Легкая степень хронического пародонтита диагностируется при глубине пародонтальных карманов от 2,5 до 3,5 мм; убыли альвеолярной кости не более чем на 1/3 длины корня зуба; незначительной подвижности зубов.
- Средне-тяжелая степень хронического пародонтита характеризуется глубиной пародонтальных карманов от 3,5 до 5 мм; резорбцией альвеолярной кости на половину длины корня зуба; патологической подвижностью зубов I-II степени.
- Тяжелая степень хронического пародонтита определяется при глубине пародонтальных карманов свыше 5 мм; убыли альвеолярной кости более половины длины корня зуба и патологической подвижности зубов II-III степени. В особо запущенных случаях происходит полная резорбция костной ткани, гибель связочного аппарата и выпадение зуба из своего ложа.
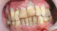
Симптомы хронического пародонтита
В начальном периоде хронического пародонтита пациенты ощущают зуд и пульсацию в деснах, дискомфорт при пережевывании пищи. Десны рыхлые, отечные, кровоточат при чистке зубов. Отмечается застревание пищи в межзубных промежутках, появление неприятного запаха изо рта. При стоматологическом обследовании выявляются признаки катарального гингивита, наличие зубных отложений и неглубоких зубодесневых карманов в межзубной области. Зубы сохраняют свою неподвижность.
Легкая степень хронического пародонтита характеризуется прогрессированием патологических изменений. Усиливается болезненность и кровоточивость десен, галитоз. В полости рта быстро и в больших количествах скапливается мягкий зубной налет, образуется зубной камень. При осмотре выявляются признаки хронического катарального или гипертрофического гингивита, зубодесневые карманы с отделяемым серозно-гнойного характера, расшатывание зубов.
При хроническом пародонтите средне-тяжелой степени ко всем вышеназванным симптомам присоединяются оголение и повышенная чувствительность шеек зубов к температурным и химическим воздействиям. Вследствие выраженного гипертрофического гингивита десны теряют свою обычную конфигурацию и цвет; зубодесневые карманы глубокие, с серозно-гнойным отделяемым. В период обострения развивается альвеолярная пиорея – выделение гнойного экссудата из пародонтальных карманов. Зубы подвижны, между ними образуются диастемы и тремы.
Хронический пародонтит тяжелой степени протекает с выраженной симптоматикой (кровоточивостью десен, подвижностью и смещением зубов, галитозом, обильными зубными отложениями, диффузным гингивитом и пр. Выраженная боль в деснах затрудняет жевание и чистку зубов. Отмечается выпадение отдельных зубов (частичная адентия).
Обострения хронического пародонтита сопровождаются эндогенной интоксикацией — недомоганием, повышением температуры тела, увеличением регионарных лимфоузлов. Десна становится отечной и резко болезненной; из зубодесневых карманов выделяется гной, образуются свищи и абсцессы, усиливается подвижность зубов.
Диагностика
Диагностика и лечение хронического пародонтита проводится стоматологом-пародонтологом. При необходимости к диагностике сопутствующих заболеваний могут быть подключены эндокринолог, гастроэнтеролог, кардиолог, гематолог, аллерголог, ревматолог. Проводится:
- Стоматологический осмотр. Во время осмотра оценивается выраженность изменений: определяются гигиенические и пародонтальные индексы, производится измерение глубины пародонтальных карманов, проводятся функциональные пробы (проба Шиллера-Писарева), составляется пародонтограмма и др.
- Рентген. Степень выраженности хронического пародонтита определяется на основании данных прицельной рентгенографии и ортопантомографии.
- Лабораторная диагностика. С целью определения микробной обсемененности зубодесневых карманов проводится ПЦР-соскоб, бактериологический посев на питательные среды. Для подтверждения эндогенного происхождения хронического пародонтита рекомендуется исследование крови на сахар, определение иммуноглобулинов, содержания СРБ.
На основании данных биопсии десны хронический пародонтит дифференцируют с гингивитом и пародонтозом.
Лечение хронического пародонтита
Объем и характер лечебных мероприятий значительно варьируется в зависимости от степени выраженности хронического пародонтита. Перед началом лечения хронического пародонтита проводится снятие зубных отложений, в дальнейшем пациенту даются практические рекомендации по соблюдению эффективной гигиены полости рта.
Легкая степень
При начальной и легкой форме лечение хронического пародонтита осуществляется консервативными методами, включающими:
- антисептическую обработку слизистой оболочки полости рта (перекисью водорода, хлоргексидином, фурацилином);
- пародонтологические аппликации противовоспалительных средств;
- физиотерапевтические процедуры (электрофорез, ультрафонофорез, дарсонвализацию, лазеротерапию, озонотерапию, массаж десен).
Средняя степень
Лечение хронического пародонтита средне-тяжелой степени предполагает дополнительное проведение закрытого и открытого кюретажа зубодесневых карманов, склерозирующей терапии. Целесообразно назначение внутрь антибактериальных препаратов. Также может потребоваться избирательное пришлифовывание и лечебное шинирование подвижных зубов.
Тяжелая степень
Лечебная тактика в отношении хронического пародонтита тяжелой степени требует сочетания методов терапевтической и хирургической пародонтологии. В этом случае, кроме местной и системной противовоспалительной терапии, по показаниям производится:
- удаление зубов с патологической подвижностью;
- гингивэктомия;
- лоскутные операции (в т. ч. с остеопластикой);
- вскрытие пародонтальных абсцессов и т. п.
Больные с тяжелым хроническим пародонтитом нуждаются в консультации стоматолога-ортопеда для планирования ортопедическое лечения – протезирования конструкциями с шинируюшими элементами.
Прогноз и профилактика
Правильно проведенное комплексное лечение хронического пародонтита и дальнейшее соблюдение рекомендаций стоматолога позволяет восстановить функцию зубочелюстной системы на длительный срок. Легкие и средние степени хронического пародонтита, как правило, не приводят к потере зубов; при тяжелом течении имеется высокий риск развития вторичной адентии.
Профилактика хронического пародонтита заключается в устранении местных и общих провоцирующих факторов (снятии зубных отложений, лечении кариеса, замене некачественных протезов, исправлении прикуса, лечении сопутствующих заболеваний, отказе от вредных привычек и пр.). Пациенты с хроническим пародонтитом нуждаются в диспансерном наблюдении, периодической профессиональной гигиене полости рта и проведении поддерживающей терапии.
Источник https://www.krasotaimedicina.ru/diseases/zabolevanija_stomatology/chronic-paradontitis